インプラント治療
インプラント治療についてIMPLANT
インプラント治療とは、歯が無くなってしまったあごの骨に細長い(直径4mm程度・長さ10mm程度)穴をあけてネジのようなもの(インプラント)を埋め込み、そのインプラントを土台にして冠をかぶせる新しい歯科治療法の一つです。
今までは歯が無くなればブリッジや入れ歯でしか歯を作れませんでした。インプラント治療は、咬み心地が天然の歯に比較的近く、従来のブリッジのように、歯を作るために他の健康な歯を削る必要が無いことが最大の利点です。部分入れ歯に抵抗感を持つ人にも受け入られやすい治療法です。


インプラント治療のメリット
- ブリッジを作る時のように隣の健康な歯を削らなくて済みます。
- 取り外し式ではなく固定式なので、違和感が少なく入れ歯のように煩わしくありません。
- 天然歯にはやや劣りますがしっかりと咬むことができ、自然な外観や表情が得られます。
- インプラント自身がしっかり咬む力を負担してくれるので、残りの歯の負担が減り、結果的に全体の歯の寿命が延びます。(咬合崩壊を防ぐことができます)
- 食べられない物が少なくなってバランス良い食事が楽しめ、心身の健康に寄与します。
- 歯の抜けたところは時間が経つにつれあごの骨が痩せて行きますが、インプラントでしっかり咬む力があごの骨に伝わり、骨が痩せていくのを防いでくれます。あごの骨の量は顔貌にも影響します。
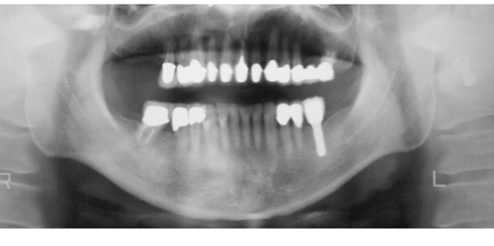
第1大臼歯(奥の大きな臼歯)をインプラント治療で回復した症例
施術前


施術後


骨が少なくインプラント治療が難しい場合などの補助的手術
1.GBR(骨再生誘導法)
骨が不足している部分を特殊な膜で覆うことにより骨ができるスペースを確保し、その中に人工骨を詰めて骨の再生を促す治療法です。この方法を使うことによりインプラントを埋め込むのに十分な骨の厚み、幅がない場合でもインプラント治療が可能になることがあります。

2.抜歯即時インプラント
今までは抜歯して骨ができるまで数ヶ月待ってからインプラント埋め込みの手術を行っていましたが、抜歯と同時にインプラントを埋め込む方法があります。抜歯とインプラント手術を同時にするので外科処置が一回で済みます。抜歯すると骨がだんだん吸収され痩せていきますが、すぐにインプラントを埋め込むことによって骨吸収を最小限にすることができます。
3.ソケットプリザベーション
抜歯後の穴に骨移植を行い、顎の骨が痩せるのを防ぐ方法で、インプラント治療を予定している場合選択する場合があります。
歯が抜けた場合の各治療方法の比較
歯が抜けたあと放置すると
- 〇良いこと
-
- 無し
- ×悪いこと
-
- 抜けた歯の周辺の歯が動いてしまい、顎や他の歯に大きな負担がかかる。
- 対合する歯が浮いて飛び出てきてしまい、かみ合わせを崩してしまう。
- 咬む機能が低下するので他の歯に負担をかけてしまう。
- 発音障害が起きる
- 見た目が悪くなる

歯が抜けたあとブリッジで歯を作ると
1本の歯を補うため、両隣の歯を削ってかぶせなくてはなりません。
- 〇良いこと
-
- 見た目は良好です。
- 食感や味覚は自分の歯とあまり差がない。
- ×悪いこと
-
- 両隣の削る必要のない健康な歯を削らなくてはならない。
- 支えている両隣の歯の負担が増え、寿命が短くなる。
- 歯が抜けた部分の顎の骨は次第に痩せていく。
- 歯並びに影響を与える事がある。

入れ歯で歯を作ると
- 〇良いこと
-
- 比較的簡単に歯を作ることができる。
- 取り外しが出来るので衛生的に使える。
- ×悪いこと
-
- 固いものや粘りのある食べ物に苦労する。
- 違和感、痛みを感じることがあり、味が変わってしまう。
- ばねが掛かるので見た目が悪い。
- 臭いや汚れがつきやすくお手入れが必要。

インプラントで歯を作ると
インプラント治療は咬む能力や見た目が良く、健康な歯を犠牲にしません。
- 〇良いこと
-
- 健康な歯を削ることなく治療ができ、他の歯の負担を増やすこともない。
- 自然な歯並びになり、口元が美しくなる。
- 食べ物を選ばずおいしく食べることができ、健康増進に寄与できる。
- 自分の歯に近い感覚で咬むことができる。
- ブリッジや入れ歯と違い骨に咬む力を伝えることが出来るため、抜歯後の骨の吸収を最小限に抑えることができる。
- ×悪いこと
-
- 歯を抜く場合と同程度の手術が必要。
- 体質や基礎疾患によっては治療出来ない場合がある。
- 正しい清掃習慣と定期検診による一定の管理が必要である。

インプラント治療基本料金(税込み)
1本 350,000円
【内訳】インプラントの手術時に 150,000円いただきます。
上部構造(冠は全周が白い陶器のオールセラミックかジルコニアクラウンです)装着時に200,000円いただきます。
上記料金にはCT撮影料、検査診断料、模型作成、治療用器具(ステント)作成、口腔内写真、X線撮影、型取り、内服薬、含嗽剤等を含みます。

※お支払にはクレジットカードもご利用いただけます。
※インプラント治療は医療費控除を受ける事が出来ます。
※インプラント、上部構造は様々な状況が考えられますので、経過年数や使用状況により実費程度の負担をしていただく場合がございます。
治療の流れ ~インプラント治療~
- STEP 1
-
検査、診断と治療計画の説明

- STEP 2
-
口腔内の清掃

- STEP 3
-
インプラント埋め込み

- STEP 4
-
待機期間

- STEP 5
-
型取り

- STEP 6
-
歯の装着

- STEP 7
-
メンテナンス

インプラント治療Q&A
- 歯周病でも大丈夫ですか?
- インプラント治療と平行して歯周病の治療も行わなければなりません。インプラントに負担がかかりすぎないよう、ご自分の歯も良い状態であることが大切です。
- 治療期間はどのくらいかかるのですか?
- 一般的に、顎の骨に入れたインプラントが周りの骨と結合するのに、使ったインプラントにもよりますが、約2ヶ月かかります。その後、上に歯を入れるための期間がかかる場合とすぐに入れることができる場合があります。
- 治療の間、歯がないところはどうしますか?
- 仮歯や仮の義歯を入れておきます。見た目にも食事をするにも問題がないようにします。
奥歯の場合、仮歯を作らない場合もあります。
- インプラントはどのくらいもちますか?
- インプラントはチタン製でとても丈夫ですので何か問題が起こらなければ半永久的にお口の中で機能します。しかし、汚れの管理を怠ると天然の歯と同様に歯周病のような状態になり、インプラントの周りの骨がなくなってしまいます。毎日しっかりブラッシングを行い、定期検診を受けていればかなりの長い間、快適にご使用いただけます。 インプラントは顎の骨と結合しているため移動はありません、しかしご自分の歯は時間がたつとともに移動や咬耗が生じ、かみ合わせが変化することもあります。定期的にかみ合わせを検査し正しい状態に調整する必要があります。
- 治療費はどのくらいかかりますか?
- インプラント治療は基本的に保険がききません。使用するインプラントの本数によって費用は異なります。当診療所では非常に信頼の置けるstraumann®社製のインプラントを使用しております。インプラントの手術は1本150,000円。上部構造はオールセラミック冠あるいはジルコニアクラウンを使用しており200,000円です。 ブリッジタイプの治療時、ダミー(根のない部分)部も200,000円です。
- インプラントの手術は痛いですか?
腫れますか? - 埋める部位だけに局所麻酔をしてからインプラントを埋め込みますので、ほとんど痛みは感じません。状況や本数にも寄りますが処置時間は30~120分位です。麻酔がきれてからは傷口の痛みが全くないわけではありませんので痛み止めで対処いたします。手術後3日程度痛みや腫れが出る場合がありますが通常はすぐ治まります。






